
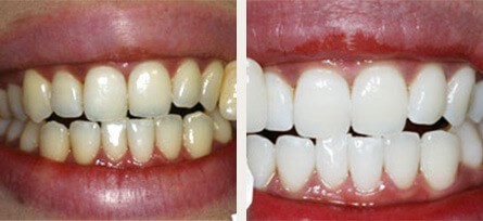
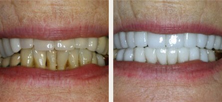
This patient came to Dr. Fredericks looking to brighten their smile. After a consultation, they decided to perform laser tooth whitening. The results speak for themselves and the patient saw shades 3 times brighter.

The patient received teeth whitening and other work from Dr. Fredericks at our North Los Angeles practice.
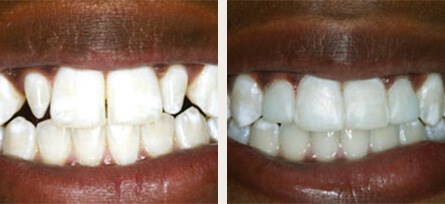
Before and After images of patients who received teeth whitening treatment at our north Los Angeles, CA clinic.

This patient came to Southern Cal Smiles to speak about his small lateral incisors. After a consultation, Dr. Fredericks recommended bonding on the 4 front teeth to make laterals normal size and close small space on the front teeth The patient is very happy with his results.
Young man from Woodland Hills, CA came in inquiring about his very small and disfigured side teeth. Also did not like the small space between the front teeth. He had been told he needed 4 veneers. I talked him out of that and placed bonding on 4. The patient was happy with the esthetic outcome and not cutting down his two front teeth and also paying only 25% OF THE COST OF 4 VENEERS.

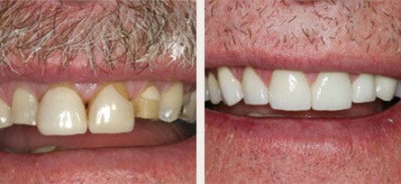
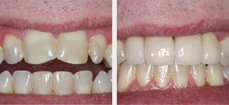
The patient came into our North Los Angeles clinic and left very happy after a complete makeover with teeth whitening, dental crowns, and bonding and contouring.
Before and after images of patients who received teeth whitening, dental crowns, and dental bonding and contouring at our Woodland Hills, CA office.

The patient was concerned about their poor appearance at business and client meetings and needed to improve their look to not hold back his career. Accomplished with only working on 2 teeth. Pleased and now confident in his look!
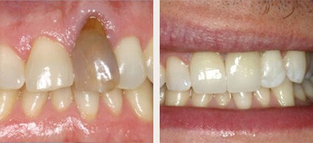
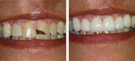
Mid 30’s male from Agoura Hills presented at our Woodland Hills and Calabasas area office to address a discolored loose upper front tooth. It did not hurt but he was concerned it was affecting his career. Previous trauma made the tooth not restorable. One tooth was extracted, an implant placed, and then one veneer and one crown were placed. Patient was pleased with the result and a small amount of recontouring and aligning teeth with just 2 involved


Patient had a combination of veneers and bonding to overcome misshapen teeth and improve smile!! Dr. Fredericks worked her magic at our Calabasas area office!

A patient from Woodland Hills, CA came in for a consult about improving his smile. The before photo shown is after teeth whitening. The patient then wanted the front 4 teeth in ideal alignment and did not want to go through 6 to 8 months of Invisalign. The patient optioned for 4 veneers and the finished case was done in 3 weeks. He was very pleased!!

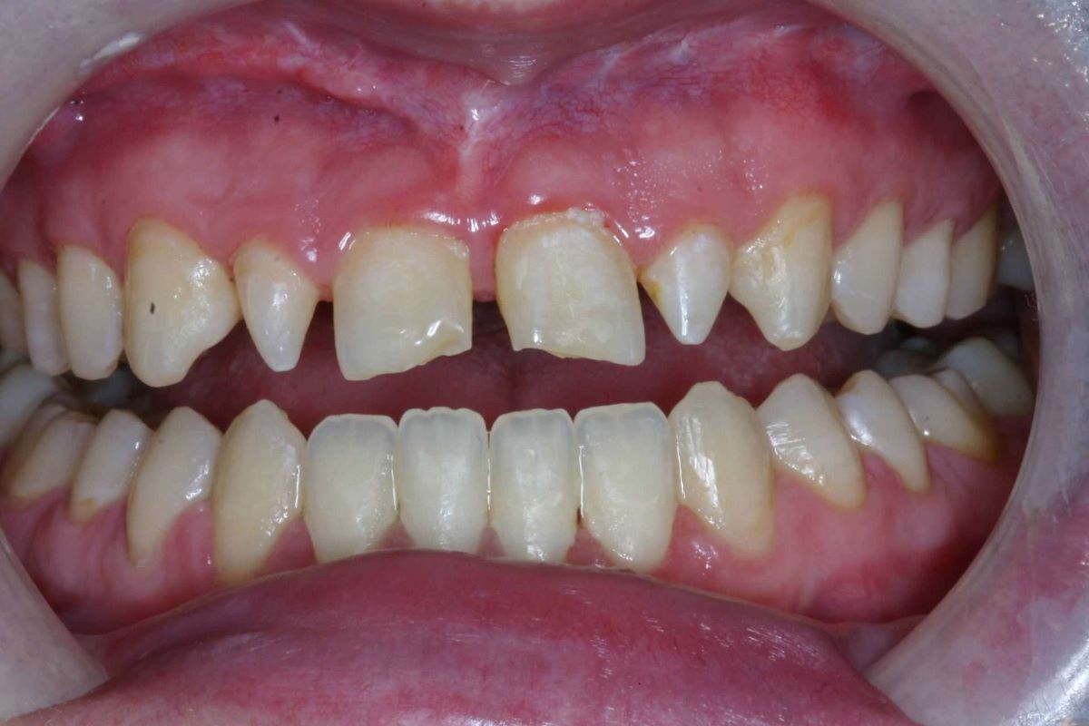
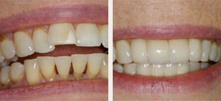
The patient came in with a large chip in her front tooth. She was unhappy with her stained yellow teeth, and she said they make her look old! We did in-office bleaching on all her teeth at our Woodland Hills, CA office, and placed 6 veneers, to further lighten and correct slight malposition, for the ideal outcome. The patient was pleased with the result and could not stop smiling!
A long-time resident of Bell Canyon and long-time patient at our Calabasas, CA area office came in when she chipped her front tooth. She said I’m tired of yellowed and crooked teeth. Please help me look better!

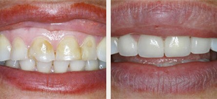
This patient came in for a dental makeover at our Calabasas area clinic. Dr. Fredericks was able to correct everything with some bonding, contouring, and veneers. The patient left very happy with a big smile on her face!

An older lady came in looking to improve her smile and overall look. I always start out very conservatively and try to provide what the patient wants. In the end, We did all of her teeth and the patient was very happy.
A super nice older Tarzana, CA lady, who has been a patient for many years, came in after her husband had passed away. She wanted a better smile. Originally we planned on the upper front 6 teeth. After she did that, she said, DO ALL MY TEETH, this looks fantastic! We were able to close spaces, take care of chipped or damaged teeth and make the teeth much whiter. The patient said to me, “there is nothing that makes me feel older than stained, yellow crooked teeth” “I feel 15 years younger!” She has had these for 12 years now, all doing very well. She told me when she passes away, she will have an open casket funeral and her mouth in a big smile, so everyone can appreciate her beautiful teeth!

This patient wanted to correct her worn smile. She has a consultation at Southern Cal Smiles and decided to have veneers placed. This procedure completely transformed her smile and increased her confidence and happiness! success story.
Wonderful West Hills woman presented to improve the smile. Loss of job and bad divorce and heavy grinding had significantly worn down her teeth and very unhappy with her smile. The placement of porcelain veneers was a tremendous boost to her !! Grinding guard has kept veneers good for over 12 years!!!!

This patient came to Dr. Fredericks wanting a full mouth overhaul. Dr. Fredericks is an expert in cosmetic dentistry and smile makeovers. She performed the procedure, including a full set of veneers and teeth whitening. The patient was very pleased with her results and loves showing off her new smile.
Calabasas women came in with complaints of yellow, discolored, and OLD LOOKING teeth. Started with a whitening procedure and obtained a good result with lower teeth. The patient wanted a bit more enhancement, so 4 veneers were placed. She loved the result with a far smaller treatment plan than she expected! Said she was happy and work was WELL WORTH IT!